Báo Sức Khỏe & Đời Sống dẫn lời bác sĩ Trần Văn Bắc – Phó trưởng khoa Cấp cứu, Bệnh viện Bệnh Nhiệt đới Trung ương, cho biết đơn vị này vừa cứu sống bé gái 15 tuổi mắc hội chứng viêm đa hệ thống (MIS-C) mức độ nặng sau Covid-19.

Theo đó, bệnh nhi là người dân tộc Tày, sống ở xã Vị Hà, huyện Bạch Thông (tỉnh Bắc Kạn). Bệnh nhi được đưa đến Bệnh viện Bệnh Nhiệt đới Trung ương vào đầu tháng 4/2022. Trước khi mắc Covid-19, bệnh nhi đã tiêm 2 mũi vaccine ngừa Covid-19, mũi 2 tiêm cách thời điểm nhập viện 2 tháng.
Trước khi vào viện 3 tuần, bênh nhi có biểu hiện sốt, đau họng, chảy mũi, ho khan, được làm xét nghiệm SARS-CoV-2 và kết quả dương tính. Sau 10 ngày, bệnh nhi hết các triệu chứng, test nhanh Covid-19 âm tính, khỏi bệnh và đi học lại bình thường.
Tuy nhiên, sau khi khỏi Covid-19 được 2 tuần, bệnh nhi bỗng nhiên sốt cao 40 độ C, rét run, kèm theo phát ban sẩn ngứa dạng chấm, nốt toàn thân. Thời điểm nhâp viện, bệnh nhi có tình trạng ban đỏ toàn thân, kết mạc mắt đỏ, sưng nề mi mắt, lưỡi đỏ, mệt nhiều và sốt cao.
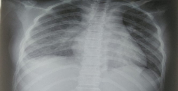
Kết quả các xét nghiệm cho thấy tổn thương nhiều cơ quan, trong đó phổi có tổn thương mờ dạng kẽ vùng rốn phổi 2 bên; tim có tràn dịch màng ngoài tim; tăng chỉ số Troponin T, pro-BNP. Các chỉ số men gan ASAT/ALAT cũng tăng gấp 2 lần. Các chỉ số viêm tăng rất cao, định lượng Interleukin-6 (cytokine viêm) cũng tăng cao.
Sau đó, bệnh nhi được chẩn đoán mắc hội chứng MIS-C mức độ nặng, nhập viện vào khoa cấp cứu, điều trị các thuốc thích hợp. Sau gần 1 tuần điều trị, các chỉ số xét nghiệm dần trở về bình thường.
Bệnh nhi không còn phát ban, không sốt, ăn ngủ tốt hơn. Hơn 10 ngày điều trị, bệnh nhi được xuất viện và đi học trở lại nhưng bác sĩ cho biết vẫn cần phải theo dõi lâu dài các biến chứng trên tim mạch và hệ miễn dịch.
Theo các bác sĩ, hội chứng MIS-C có nhiều điểm chung với bệnh Kawasaki và hội chứng sốc nhiễm độc tố tụ cầu. Tuổi trung bình của bệnh nhân là 8 tuổi, gặp nhiều nhất trong độ tuổi từ 6 đến 12 tuổi.
Theo VietNamNet dẫn thông tin từ bộ Y tế, MIS-C ở trẻ mắc Covid-19 hiếm gặp, chủ yếu ở giai đoạn sau nhiễm SARS-CoV-2 từ 2-6 tuần. Đây là biến chứng nặng có thể gây tử vong và có xu hướng gia tăng.
Trẻ mắc hội chứng MIS-C thường có các biểu hiệu như sốt cao liên tục, mắt đỏ, môi đỏ, phát ban da, sưng đau hạch cổ và các triệu chứng tiêu hóa như ói, đau bụng, tiêu chảy. Các biến chứng nặng của MIS-C ở trẻ em thường liên quan đến hệ tim mạch gồm viêm động mạch vành và giảm chức năng co bóp của cơ tim.
Biến chứng viêm mạch vành nếu không được điều trị kịp thời có thể để lại di chứng lâu dài trên hệ tim mạch như giãn động mạch vành, thiếu máu cơ tim.
Trẻ nghi mắc hội chứng MIS-C cần được theo dõi và điều trị ở các bệnh viện chuyên khoa nhi, một số trường hợp nguy kịch cần được hỗ trợ hô hấp tuần hoàn.