Đi khám sức khỏe định kỳ dịp cận Tết, người đàn ông phát hiện khối u phổi lớn
Bệnh nhân 49 tuổi ở Phú Thọ có biểu hiện đau khớp gối hai bên nhưng không có các dấu hiệu bất thường nào khác. Bác sĩ sau đó phát hiện khối u lớn trong cơ thể bệnh nhân.
Bệnh viện Đa khoa Hùng Vương cho biết nam bệnh nhân 49 tuổi ở Phú Thọ có biểu hiện đau khớp gối hai bên nhưng không có các dấu hiệu bất thường nào khác.

Bác sĩ đã chỉ định bệnh nhân làm các chỉ số xét nghiệm kiểm tra đường máu, mỡ máu cũng như xét nghiệm tầm soát ung thư phù hợp với độ tuổi.
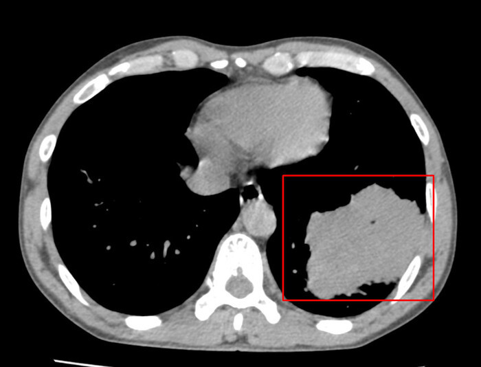
Kết quả kiểm tra cho thấy phim chụp CT lồng ngực của bệnh nhân có hình ảnh khối u thùy dưới phổi trái kích thước 73 mm x 80 mm. Người bệnh rất bất ngờ với kết quả khám của mình.

Bệnh nhân được các bác sĩ chuyên khoa Ung bướu ở Bệnh viện Đa khoa Hùng Vương và các chuyên gia tại Bệnh viện K Trung Ương cùng tư vấn, hội chẩn để đưa ra phương pháp điều trị phù hợp.
Bệnh viện cho biết người bệnh phát hiện khối u phổi khá lớn dù không có biểu hiện bất thường nào.
Vì vậy, để tránh bỏ sót nguy cơ mắc bệnh, các chuyên gia khuyến cáo mọi người nên đi khám sức khỏe định kỳ, nhất là người trên 55 tuổi, hút nhiều thuốc lá, làm trong môi trường khói bụi, ô nhiễm hoặc có người thân bị ung thư phổi.

